محققان از نامگذاری کلاس جدیدی از چربی در بدن خبر داده اند که با استفاده از آن می توان به تولید داروهای مناسب جهت تبدیل چربی های بد به خوب امیدوار بود.

متخصصان علوم پزشکی به این واقعیت تأکید دارند که وجود مقدار مناسبی از چربی در بدن برای حفظ سلامتی ضروری است اما اکثر مردم آمریکا و احتمالا بسیاری از مردم سایر کشورهای جهان مقدار زیادی چربی در بدن خود دارند.
تیمی از محققان به سرپرستی یکی از زیست شناسان دانشگاه کالیفرنیا در سان فرانسیسکو از مدتها پیش به بررسی ترکیب سلولی این نوع چربی ها پرداخته تا داروهای مناسبی برای چربی سوزی در آینده ارایه کند.
به عقیده این محققان می توان امیدوار بود که داروهایی از این دست اپیدمی چاقی در سراسر جهان را به نحوی کنترل کند. نتایج و جزئیات این بررسی در شماره اخیر نشریه Nature Medicine منتشر شده است.
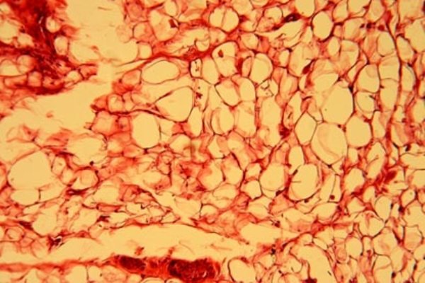
نوع غیرسالم چربی که با دیابت و اضافه وزن در ارتباط است تحت عنوان «چربی سفید» شناخته می شود که ترکیبی از بافت های بزرگ سلولی دربرگیرنده مقادیر هنگفتی انرژی است. اما چربی های «خوب» نیز وجود دارند.
آنچه که تحت عنوان چربی خوب از آن یاد می شود، بافت چربی قهوه ای رنگی است – سلولهایی که کوچکتر هستند و میتوکندری موجود در آنها چربی را سریعا به انرژی تبدیل می کند.
اساسا چربی قهوه ای تحت عنوان «چربی کودک» شناخته می شود که در حیواناتی که خواب زمستانی دارند نیز یافت می شود. محققان پیشتر متوجه شده اند که افراد بزرگسال دارای چربی قهوه ای هستند اما از این نکته مطمئن نبوده اند که چربی قهوه ای یا همان چربی کودک در واقع همان چربی است که همزمان با تولد نوزاد در بدنش وجود دارد.
در مطالعه اخیر، محققان دانشگاه کالیفرنیا سلولهای چربی قهوه ای را از دو فرد بزرگسال نمونه برادری کرده و شروع به بازتولید آن کردند. آنها پس از انجام بررسی های پروتئینی و ژنتیکی دریافتند این سلولها قابلیت سوزاندن چربی سفید بد و تبدیل آن به چربی قهوه ای خوب را دارند.
از این رو محققان عنوان beige (قهوه ای مایل به خاکستری) را برای این دسته از چربی ها برگزیده اند.
با نتایج به دست آمده محققان می توانند داروهایی تولید کنند که چربی بد را به چربی خوب تبدیل می کند.
منبع: مهر